No matter your concern, our Core Correction Method lays the foundation for true healing and performance.

At our Murrysville/Export office, your health and safety are our top priorities. X-rays are a vital part of providing you with the most accurate and effective care possible. Here’s why we recommend them as part of your chiropractic evaluation:
X-rays help us see what’s really going on inside your spine and joints. They show any misalignments, degeneration, or other conditions that may be causing your symptoms.
We use X-rays to take precise measurements of your posture and spinal structure. This gives us a clear baseline so we can create a plan tailored just for you.
Every spine is different. X-rays help us design a treatment plan that fits your specific needs—not just a general approach.
We want you to understand your care. Seeing your own X-rays helps you visualize what’s going on and why we’re recommending certain treatments.
Sometimes the real issue isn’t where the pain is. X-rays help uncover underlying problems that might not show up in a physical exam alone.
We take follow-up X-rays to compare changes and improvements over time. It’s a great way to see how your spine is healing and changing.
Before any adjustments, it’s important to rule out conditions like fractures or other issues that could make certain treatments unsafe.
X-rays are part of your medical history. They’re helpful for insurance, referrals, or if you’ve been in an accident.

One of our model patients recently completed a full corrective chiropractic care plan with outstanding results. At the start of care, his forward head posture measured 61 mm—a significant deviation that placed extra stress on his neck and spine. Through consistent adjustments, customized exercises, and adherence to his care plan, his posture improved dramatically. By the end of his program, follow-up X-rays showed his forward head posture had reduced to just 14 mm. This measurable change not only improved his posture and appearance but also reduced tension, discomfort, and risk of long-term spinal degeneration. His success is a powerful example of what’s possible with dedication and the right corrective care approach.

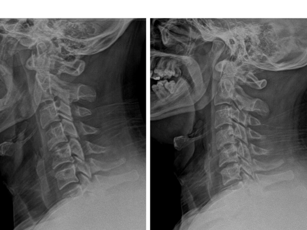
After just 12 visits on our I-TRAC decompression, one patient is already showing noticeable changes in the right direction. His before-and-after X-rays reveal early improvement in the alignment and curvature of his cervical spine. His forward head posture measured 55 mm - reduced to 21 mm. The traction has begun to reduce abnormal forward head posture and restore the natural cervical curve, helping to relieve tension and improve spinal function. This early progress sets a strong foundation for continued improvement in the weeks ahead.
